破折歯の接着再植法
症例 24 - vol.109 -
|
|
69歳 女性
「1ヶ月程前に食事中に熱いスープを飲んだら激痛が走ったため、掛かりつけ医を受診しレントゲンを撮ると大きな病巣があると言われ、神経を取ることになり削っていくと歯にヒビがあるので抜歯を勧められました。そして両サイドの歯の神経を取ってブリッジを入れる説明を受けました。現在は痛みをとるため神経を取り仮詰めしています。
骨粗鬆症の薬を服用しているため、掛かりつけ医では薬を控えてから6ヶ月経たないと抜歯ができないと言われました。掛かりつけ医の説明を聞いて怖くなり、他の先生の意見を聞きたく…」と来院されました。

患歯(矢印)にヒビが入っているかレントゲン診査では分かりませんが、大きな病巣?は確認できません。


仮封剤を除去し根管内診査してみると…
近心~髄床底~遠心にかけて破折線が確認できます。(矢印)
また前医で根管形成をした形跡も認められず、口蓋根管から排膿が認められました。
破折状況から通常であれば抜歯選択が妥当ですが、Krから抜歯する前に先生が行っている破折修復の治療をダメ元でいいので受けたいと希望されたため、引き受けることにしました。

接着修復に先立ち、根管洗浄後Extrusionを行います。
一時Krからコロナ禍で治療を続けるために電車通院するのが不安なので抜歯希望されました。しかしその後少し落ち着いてきたので、抜歯を取りやめ当初予定した外部接着再植法を再度希望されました。その間4ヶ月経ったためか?この時点で近心の骨に骨吸収と思われる透過像を認めます。

順調に挺出しました。

破折状態




根管治療 根管充填 接着修復 ファイバー補強 デブライドメントを行いました。

再植直後

1ヶ月後

2ヶ月後

3ヶ月後

4ヶ月後

5ヶ月後
ビルドアップ テンポラリーを装着して1ヶ月後

6ヶ月半後

8ヶ月半後
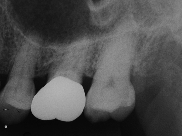
最終補綴物を装着しました。

2年2ヶ月半後
経過良好です。

4年3ヶ月後
近心の歯槽骨が緻密化してきました。
「1ヶ月程前に食事中に熱いスープを飲んだら激痛が走ったため、掛かりつけ医を受診しレントゲンを撮ると大きな病巣があると言われ、神経を取ることになり削っていくと歯にヒビがあるので抜歯を勧められました。そして両サイドの歯の神経を取ってブリッジを入れる説明を受けました。現在は痛みをとるため神経を取り仮詰めしています。
骨粗鬆症の薬を服用しているため、掛かりつけ医では薬を控えてから6ヶ月経たないと抜歯ができないと言われました。掛かりつけ医の説明を聞いて怖くなり、他の先生の意見を聞きたく…」と来院されました。

患歯(矢印)にヒビが入っているかレントゲン診査では分かりませんが、大きな病巣?は確認できません。


仮封剤を除去し根管内診査してみると…
近心~髄床底~遠心にかけて破折線が確認できます。(矢印)
また前医で根管形成をした形跡も認められず、口蓋根管から排膿が認められました。
破折状況から通常であれば抜歯選択が妥当ですが、Krから抜歯する前に先生が行っている破折修復の治療をダメ元でいいので受けたいと希望されたため、引き受けることにしました。

接着修復に先立ち、根管洗浄後Extrusionを行います。
一時Krからコロナ禍で治療を続けるために電車通院するのが不安なので抜歯希望されました。しかしその後少し落ち着いてきたので、抜歯を取りやめ当初予定した外部接着再植法を再度希望されました。その間4ヶ月経ったためか?この時点で近心の骨に骨吸収と思われる透過像を認めます。

順調に挺出しました。

破折状態




根管治療 根管充填 接着修復 ファイバー補強 デブライドメントを行いました。

再植直後

1ヶ月後

2ヶ月後

3ヶ月後

4ヶ月後

5ヶ月後
ビルドアップ テンポラリーを装着して1ヶ月後

6ヶ月半後

8ヶ月半後
最終補綴物を装着しました。

2年2ヶ月半後
経過良好です。

4年3ヶ月後
近心の歯槽骨が緻密化してきました。
|
|
→次のページ 症例集/犬の歯の治療(番外)
→次のページ デンタルラボ/F.Dラボ室